عندما يفكر المريض في ابتسامة هوليوود في تركيا، فإنه غالباً لا يبحث فقط عن شكل الأسنان أو درجة اللون أو عدد القشور، بل يبحث أيضاً عن شيء أعمق وأكثر واقعية: ما مخاطر هذا العلاج؟ وما الخطأ الذي يمكن أن يحصل إذا لم تكن الخطة مناسبة؟ وهل ترتبط المشكلة بتركيا نفسها، أم بطريقة التشخيص واختيار العلاج وتنفيذ الخطوات قبل البدء؟
الحقيقة الطبية الواضحة هي أن أكبر مخاطر ابتسامة هوليوود في تركيا لا تأتي عادة من فكرة العلاج في تركيا بحد ذاتها، بل من الحالة غير المناسبة، أو التشخيص الضعيف، أو اختيار القشور أو التيجان بطريقة لا تناسب الأسنان واللثة والإطباق. القشور والتيجان يمكن أن تكون آمنة وناجحة جداً عندما تُستخدم في الشخص المناسب، وللسبب الصحيح، وبالتحضير المناسب. لكن عندما يُبنى العلاج على السرعة، أو على الباقات الجاهزة، أو على النتيجة الشكلية فقط، تبدأ احتمالات المضاعفات في الارتفاع. ولهذا فإن المدخل الصحيح لهذا الموضوع هو أن نفهم من البداية أين تكمن المخاطر فعلاً.
- إجابة سريعة: أكبر مخاطر ابتسامة هوليوود ليست فكرة العلاج في تركيا، بل اختيار الحالة الخاطئة
- ما الخطأ الذي يمكن أن يحصل فعلاً مع ابتسامة هوليوود؟
- من الأكثر عرضة للمشكلات مع القشور أو التيجان؟
- متى تخلق القشور مخاطر بدلاً من أن تحل المشكلة؟
- متى تحمل التيجان تبعات طويلة الأمد أكبر من القشور؟
- كيف تزيد مشاكل الإطباق والصرير وضعف الأسنان من المخاطر؟
- لماذا تبدو بعض نتائج ابتسامة هوليوود صناعية أو سميكة أو غير مريحة؟
- كيف تغيّر صحة اللثة وتلف الأسنان والترميمات القديمة مستوى المخاطر؟
- كيف يقلل أطباء الأسنان في تركيا المخاطر قبل بدء العلاج؟
- ما الذي يجب أن يسأل عنه المرضى قبل الموافقة على القشور أو التيجان؟
- متى يجب تأجيل ابتسامة هوليوود ومعالجة الأساس أولاً؟
إجابة سريعة: أكبر مخاطر ابتسامة هوليوود ليست فكرة العلاج في تركيا، بل اختيار الحالة الخاطئة
الخطر الحقيقي يبدأ من التشخيص الضعيف لا من مكان العلاج
لماذا لا تُعد الجغرافيا العامل الأساسي في المضاعفات
عندما يبحث المرضى عن سلامة ابتسامة هوليوود في تركيا، قد يظنون أن المشكلة الأساسية مرتبطة بالسفر أو بالعلاج خارج البلد. لكن في الواقع، الموقع الجغرافي ليس هو ما يحدد النجاح أو الفشل بقدر ما يحدده عمق الفحص وجودة التخطيط واختيار العلاج المناسب. يمكن أن تكون الخطة ممتازة وآمنة في تركيا إذا كانت مبنية على تشخيص دقيق، ويمكن أن تكون سيئة في أي مكان إذا كانت متسرعة أو قائمة على وعود عامة.
ولهذا من المهم أن يتحول تركيز المريض من السؤال “هل تركيا آمنة؟” إلى السؤال الأهم: “هل حالتي شُخّصت بشكل صحيح؟”
الخطر الحقيقي هو الإفراط في العلاج أو اختيار الترميم الخطأ
لماذا قد تفشل القشور أو التيجان إذا استُخدمت لسبب غير مناسب
كثير من مخاطر ابتسامة هوليوود لا تبدأ من المادة نفسها، بل من قرار استخدام القشور أو التيجان في الحالة الخطأ. فقد تُستخدم القشور لإخفاء ازدحام يحتاج إلى تقويم، أو تُستخدم التيجان في أسنان كانت تقبل حلاً أكثر محافظة، أو يتم دفع الحالة نحو شكل تجميلي مبالغ فيه لا يناسب الوجه أو الإطباق.
بمعنى آخر، المشكلة ليست في أن القشور أو التيجان سيئة، بل في أن تُستخدم في غير موضعها. ومن هنا يصبح من الضروري أن نفهم بشكل عملي ما الخطأ الذي يمكن أن يحصل فعلاً مع ابتسامة هوليوود.
البداية الآمنة لا تكون من الباقة بل من تقييم الحالة
لماذا يسبق التحليل السريري أي وعد تجميلي
لا توجد باقة جاهزة يمكنها أن تخبرك هل لثتك مستقرة، وهل أسنانك قوية بما يكفي، وهل الإطباق آمن، وهل القشور هي الخيار الصحيح أم لا. هذه أمور لا تُعرف إلا بعد:
- فحص سريري
- صور وأشعة عند الحاجة
- تقييم الإطباق
- فحص اللثة
- مراجعة الحشوات أو العلاجات السابقة
ولهذا فإن أمان العلاج يبدأ قبل أول تحضير للسن، لا بعده. وبعد هذه الإجابة المختصرة، يصبح من الطبيعي أن نسأل بشكل مباشر: ما الخطأ الذي يمكن أن يحصل فعلاً مع ابتسامة هوليوود؟

ما الخطأ الذي يمكن أن يحصل فعلاً مع ابتسامة هوليوود؟
المشكلات ليست تجميلية فقط، بل قد تكون وظيفية وصحية أيضاً
لماذا قد تبدو الابتسامة جيدة أولاً ثم تبدأ المشكلات لاحقاً
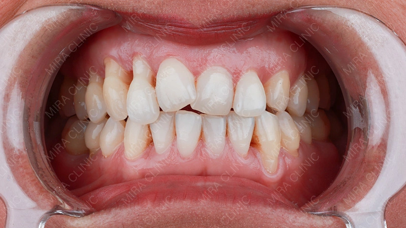
في بعض الحالات، قد تبدو الابتسامة جميلة في الصور الأولى، لكن ذلك لا يعني أن كل شيء يسير بشكل مثالي على المدى الطويل. فهناك مشكلات قد تظهر لاحقاً مثل الحساسية، أو التهاب اللثة، أو عدم راحة في الإطباق، أو تكسّر الترميمات، أو صعوبة التنظيف حولها. وهذه المشكلات تندرج ضمن مضاعفات ابتسامة هوليوود حتى لو كانت النتيجة جذابة بصرياً في البداية.
وهذا يعني أن تقييم النجاح لا يجب أن يكون بصرياً فقط، بل وظيفياً وصحياً أيضاً.
قد تشمل المشكلات الحساسية، وتهيّج اللثة، وعدم الراحة في الإطباق
لماذا تظهر بعض المضاعفات بعد العودة إلى المنزل
من أكثر ما الخطأ الذي يمكن أن يحصل شيوعاً بعد ابتسامة هوليوود:
- حساسية بعد التحضير أو التثبيت
- تهيّج أو نزيف في اللثة
- عدم راحة في الإطباق
- تكسّر أو تآكل مبكر
- صعوبة في تنظيف الحواف
- نتيجة تبدو صناعية أو ثقيلة
وبعض هذه المشكلات لا يظهر فوراً داخل العيادة، بل يبدأ عندما يعود المريض إلى حياته اليومية في الأكل والكلام والمضغ. ولهذا يصبح من الضروري فهم من هم المرضى الأكثر عرضة لهذه المشكلات من غيرهم.
بعض المخاطر تظهر بسرعة، وأخرى تتطور تدريجياً
لماذا لا يجب تجاهل الإشارات المبكرة
خشونة بسيطة في الحافة، أو شعور بأن الإطباق غير مريح، أو التهاب خفيف في اللثة، قد تبدو أموراً صغيرة في البداية، لكنها قد تكون بداية لمشكلة أكبر إذا لم تُراجع بسرعة. وهذا يوضح أن جزءاً من تقليل المخاطر هو معرفة متى تكون الإشارة المبكرة مهمة.
وبعد فهم طبيعة هذه المشكلات، نصل إلى سؤال أكثر دقة: من الأكثر عرضة لمشكلات القشور أو التيجان؟

من الأكثر عرضة للمشكلات مع القشور أو التيجان؟
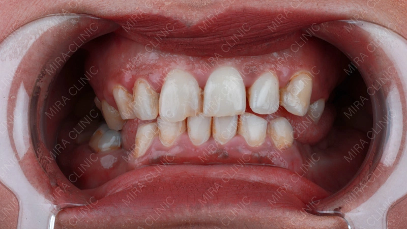
المرضى الذين لديهم مينا ضعيفة أو حشوات كبيرة أو أسنان متآكلة
لماذا لا تتصرف الأسنان الضعيفة كأنها أسنان تجميلية فقط
الأسنان السليمة ذات المينا الجيدة تختلف كثيراً عن الأسنان التي تعاني من تآكل، أو تشققات، أو حشوات كبيرة، أو فقدان في البنية. هذه الأسنان لا يمكن التعامل معها كأنها تحتاج تحسين شكل فقط، لأن تحملها للترميم التجميلي يختلف عن الأسنان السليمة.
ولهذا فإن تقييم قوة السن ليس تفصيلاً إضافياً، بل جزء من تقييم مخاطر العلاج نفسه.
المرضى الذين يعانون من صرير الأسنان أو إطباق غير مستقر
لماذا تؤثر قوى الإطباق على بقاء القشور والتيجان
المرضى الذين يضغطون أو يصرّون على أسنانهم، أو لديهم تماسّات إطباقية غير متوازنة، يضعون الترميمات تحت ضغط أعلى من المتوقع. وهذا قد يرفع احتمال التكسّر أو عدم الراحة أو التآكل المبكر، سواء كانت الترميمات قشوراً أو تيجاناً.
هذا لا يعني أنهم غير مناسبين تلقائياً، لكنه يعني أنهم يحتاجون خطة أكثر دقة من المرضى ذوي الإطباق المستقر.
المرضى الذين يعانون من أمراض لثة أو نظافة ضعيفة أو توقعات غير واقعية
لماذا تؤثر اللثة والتوقعات على مستوى المخاطر
اللثة غير الصحية تجعل النتيجة أقل استقراراً جمالياً ووظيفياً، والنظافة الضعيفة ترفع احتمال المشاكل حول الحواف، أما التوقعات غير الواقعية فقد تدفع المريض إلى قبول تصميم مبالغ فيه أو علاج أكثر تدخلاً مما تحتاجه حالته.
ومن هنا نصل إلى نقطة مهمة: متى تصبح القشور نفسها جزءاً من المخاطر بدلاً من أن تكون الحل؟

متى تخلق القشور مخاطر بدلاً من أن تحل المشكلة؟
القشور ليست مناسبة لكل نوع من أنواع المشاكل التجميلية
لماذا قد تكون القشور الأداة الخطأ لمشكلة تحتاج علاجاً آخر
القشور ممتازة عندما تكون الأسنان سليمة نسبياً والمشكلة الرئيسية في اللون أو الشكل أو بعض الفروقات البسيطة. لكنها تصبح أقل أماناً عندما تكون المشكلة الحقيقية في الازدحام الشديد أو الإطباق أو ضعف بنية الأسنان.
وهنا تبدأ مخاطر القشور، ليس لأن القشور سيئة، بل لأنها استُخدمت خارج نطاقها المثالي.
الازدحام أو العضة العميقة أو الأسنان غير المستقرة تجعل القشور أقل أماناً
لماذا لا يعني التمويه التجميلي دائماً تصحيح المشكلة
في بعض الحالات، قد تُخفي القشور مظهر المشكلة، لكنها لا تعالج سببها. فإذا كانت الأسنان مزدحمة أو مواضعها غير مناسبة أو الإطباق غير متوازن، فقد تتطلب القشور تحضيراً أكثر أو شكلاً أكثر سماكة لتغطية هذه العيوب، ما يرفع احتمال المظهر الصناعي أو الضغط الوظيفي.
ولهذا قد يكون العلاج الأكثر أماناً أحياناً هو التقويم أولاً أو علاج آخر قبل القشور.
تصبح القشور أكثر خطراً عندما تُستخدم لتحقيق نتيجة سريعة فقط
كيف يمكن أن تتحول السرعة إلى عبء طويل الأمد
المرضى قد ينجذبون إلى القشور لأنها تعطي تغيراً سريعاً، لكن السرعة تصبح مخاطرة عندما تحل محل التشخيص. فإذا كانت الحالة تحتاج علاجاً تمهيدياً وتم تجاوز ذلك للوصول إلى ابتسامة سريعة، فقد تظهر مشكلات صيانة واستبدال وعدم راحة لاحقاً.
وهنا يظهر سؤال موازٍ مهم: إذا كانت القشور قد تكون غير مناسبة لبعض الحالات، فمتى تصبح التيجان هي الأخرى حاملة لمخاطر أكبر على المدى الطويل؟

متى تحمل التيجان تبعات طويلة الأمد أكبر من القشور؟
التيجان تحتاج عادة إلى إزالة بنية سنية أكبر
لماذا تغيّر التغطية الكاملة العلاقة المستقبلية مع السن
التيجان تغطي السن بالكامل، ولذلك فهي تحتاج عادة إلى تحضير أكبر من القشور. وهذا يجعلها خياراً أكثر تدخلاً بطبيعته، حتى لو كانت مفيدة وضرورية في بعض الحالات.
ولهذا فإن الفرق بين القشور والتيجان ليس فقط في الشكل، بل في مقدار الالتزام الترميمي الذي تفرضه كل منهما على السن مستقبلاً.
قد تكون التيجان أكثر أماناً للأسنان الضعيفة، لكنها أقل محافظة للأسنان السليمة
لماذا يعتمد القرار الصحيح على حالة السن لا على راحة الطبيب أو سرعة الخطة
إذا كانت السن ضعيفة، أو مكسورة، أو فيها حشوة كبيرة، أو معالجة عصبياً، فقد تكون التيجان أكثر أماناً من القشور. لكن إذا كانت السن سليمة نسبياً، فإن اللجوء إلى التاج بدلاً من القشرة قد يكون تدخلاً أكبر من اللازم.
وهذا يعني أن السؤال ليس: “هل التيجان أخطر؟” بل: “هل هذه السن تحتاج تاجاً فعلاً؟”
التبعة الطويلة لا تتعلق فقط بالقوة، بل بكمية السن التي فُقدت
لماذا تقل الخيارات المحافظة كلما زادت كمية التحضير
كلما أزيلت بنية سنية أكثر، أصبحت السن أكثر اعتماداً على الترميمات المستقبلية. وهذا لا يجعل التيجان خياراً سيئاً في الحالات المناسبة، لكنه يجعل قرار استخدامها قراراً يجب أن يُتخذ بعناية شديدة.
ومن هنا نصل إلى عامل من أهم العوامل التي قد ترفع المخاطر مع كل من القشور والتيجان: الإطباق والصرير وضعف الأسنان.
اقرأ المزيد: لماذا تبدو بعض قشور الأسنان صناعية أو كبيرة أو سميكة في تركيا؟ ما الذي يسبب النتيجة غير الطبيعية فعلاً؟
كيف تزيد مشاكل الإطباق والصرير وضعف الأسنان من المخاطر؟
الإطباق غير المستقر قد يسبب كسوراً وعدم راحة وتآكلاً أسرع
لماذا يجب دراسة الإطباق قبل أي تجميل دائم
قد تبدو الابتسامة جميلة في الصورة أو المعاينة، لكن إذا كانت نقاط التماس غير متوازنة أو إذا كانت العضة تضغط بقوة على الأسنان الأمامية، فإن الترميمات تتعرض لإجهاد مستمر. وهذا قد يؤدي إلى كسر أو انزعاج أو تآكل أسرع.
ولهذا فإن تقييم الإطباق ليس تفصيلاً تقنياً، بل جزء أساسي من سلامة ابتسامة هوليوود في تركيا.
صرير الأسنان يرفع احتمال فشل القشور أو التيجان مع الوقت
لماذا يحتاج الصرير إلى حماية إضافية وليس إلى تجاهل
المرضى الذين يصرّون على أسنانهم يمكن علاجهم تجميلياً، لكن بشرط أن تتضمن الخطة:
- تقييم قوة الضغط
- اختياراً مناسباً للمادة
- تصميمًا متوافقاً مع الإطباق
- واقياً ليلياً عند الحاجة
أما تجاهل الصرير فيعني أن الترميمات ستعمل في بيئة غير مستقرة من اليوم الأول.
الأسنان الضعيفة تحتاج منطقاً علاجياً مختلفاً عن الأسنان السليمة
لماذا تؤثر قوة السن على المسار الأكثر أماناً
السن التي فيها حشوة كبيرة أو ضعف أو تآكل ليست مرشحة تلقائياً لنفس الحل الذي يناسب سنّاً سليمة بمينا جيدة. ولهذا فإن تقييم البنية مهم بقدر تقييم الشكل التجميلي.
وهذا يفسر أيضاً لماذا تبدو بعض النتائج سميكة أو صناعية أو غير مريحة حتى عندما تكون “لامعة” في الصور.

لماذا تبدو بعض نتائج ابتسامة هوليوود صناعية أو سميكة أو غير مريحة؟
الحجم الزائد والبياض المبالغ فيه والخطوط غير الطبيعية تصنع النتيجة الصناعية
لماذا ترتبط “Turkey teeth” غالباً بمشكلة تصميم لا بمشكلة بلد
عندما يتحدث الناس عن مخاطر تركيا تيث، فهم غالباً يقصدون نتائج شديدة البياض، مربعة، كبيرة، وموحدة أكثر من اللازم. هذه الصورة النمطية ترتبط بتصميم مبالغ فيه أكثر مما ترتبط بتركيا كبلد.
وهذا يوضح مرة أخرى أن المشكلة الحقيقية غالباً هي مشكلة تخطيط، لا مجرد مكان العلاج.
الترميمات السميكة تأتي غالباً من تصميم غير مناسب أو تحضير غير ملائم
لماذا تغير السماكة الزائدة دعم الشفاه وراحة الابتسامة
الترميمات السميكة لا تبدو غير طبيعية فقط، بل قد تجعل المريض يشعر أن الشفاه تتحرك بطريقة مختلفة، أو أن الفم أثقل من السابق، أو أن النطق أقل راحة.
ولهذا فإن لماذا تبدو بعض القشور سميكة ليس سؤالاً جمالياً فقط، بل سؤال وظيفي أيضاً.
الابتسامة غير المريحة غالباً نتيجة مشكلة إطباق أو كونتور، لا مجرد شكل
لماذا قد تبدو الابتسامة جميلة في الصور لكنها غير مريحة في الواقع
الصور لا تكشف كل شيء. فقد يبدو الترميم جميلاً في الصورة، لكنه يسبب ضغطاً أو سماكة أو انزعاجاً عند الكلام أو الأكل أو إغلاق الفم. وهذا يوضح أن الراحة جزء من نجاح النتيجة، لا أمراً منفصلاً عن الجمال.
وبعد فهم التصميم والإطباق، نصل إلى عامل بالغ الأهمية في تقدير مستوى المخاطر: حالة اللثة، والأضرار السابقة في الأسنان، والترميمات القديمة.
اقرأ المزيد: نتائج ابتسامة هوليوود الطبيعية في تركيا: كيف تتجنب القشور التي تبدو صناعية؟
كيف تغيّر صحة اللثة وتلف الأسنان والترميمات القديمة مستوى المخاطر؟
اللثة غير الصحية تجعل العلاج التجميلي أقل قابلية للتنبؤ
لماذا تؤثر اللثة على الشكل والعمر الافتراضي معاً
اللثة هي الإطار الذي تظهر فيه القشور والتيجان. فإذا كانت ملتهبة أو تنزف أو غير مستقرة، فقد تؤثر على الحواف، وعلى نظافة الترميمات، وعلى التناسق الجمالي مع الوقت.
ولهذا فإن صحة اللثة ليست مجرد تفصيل “قبل التجميل”، بل جزء من التجميل نفسه.
الحشوات القديمة والشقوق وعلاج العصب قد يغيرون الخطة بالكامل
لماذا تؤثر العلاجات السابقة على اختيار القشور أو التيجان
الأسنان التي تحتوي على ترميمات قديمة أو شقوق أو فقدان في البنية أو تاريخ علاج عصب، لا تُقيّم بنفس الطريقة التي تُقيّم بها الأسنان السليمة. وقد تحتاج هذه الأسنان إلى خيار أكثر دعماً أو إلى علاج تمهيدي قبل الدخول في المرحلة التجميلية.
السن المتضررة تحتاج تقييماً مختلفاً عن السن السليمة
لماذا لا يجب أن تتجاهل الخطة التجميلية الواقع الترميمي
الأسنان ذات البنية الضعيفة ليست مجرد “سطح يحتاج شكلاً أجمل”، بل بنية تحتاج حلاً يناسبها. ومن هنا يأتي الفرق بين الخطة التجميلية الذكية والخطة التي تتجاهل ما هو موجود فعلاً في الفم.
ولذلك فإن العيادات الجيدة في تركيا تقلل المخاطر قبل العلاج، لا بعد ظهور المشاكل.

كيف يقلل أطباء الأسنان في تركيا المخاطر قبل بدء العلاج؟
العيادات الآمنة تبدأ بالصور والفحص واختيار الحالة
لماذا تسبق الصور والفحوصات أي تحضير للأسنان
الخطة الآمنة تبدأ عادة بـ:
- فحص سريري كامل
- صور للابتسامة والوجه
- أشعة أو CBCT عند الحاجة
- تقييم الإطباق
- تقييم اللثة
- مراجعة الترميمات القديمة
هذه الخطوات تساعد الطبيب على فهم ما إذا كانت القشور أو التيجان مناسبة أصلاً، وتمنع الإفراط في العلاج.
تحليل الإطباق واللثة وتخطيط الابتسامة يقلل المشكلات الممكنة
لماذا يمنع التخطيط الجيد المشكلات الوظيفية والجمالية معاً
عندما تُخطط الابتسامة جيداً، تقل احتمالات:
- السماكة الزائدة
- اللون غير المناسب
- التحضير المبالغ فيه
- عدم الراحة في الإطباق
- تهيّج اللثة
- قصر عمر الترميمات
وهذا لأن الجمال هنا يُبنى على أساس حيوي ووظيفي، لا بمعزل عنه.
تقليل المخاطر يعني اختيار العلاج الأقل تدخلاً الذي ينجح فعلاً
لماذا يجعل التخطيط المحافظ العلاج أكثر أماناً واستقراراً
الخطة الأفضل ليست بالضرورة الأكثر شمولاً أو الأغلى أو الأسرع، بل الخطة التي تحل المشكلة الحقيقية بأقل تدخل ممكن. وأحياناً يعني ذلك قشوراً، وأحياناً تيجاناً، وأحياناً علاجاً تمهيدياً قبل أي خطوة تجميلية.
وهذا هو السبب الذي يجعل أسئلة المريض قبل الموافقة على العلاج جزءاً مهماً من الأمان نفسه.
اقرأ المزيد: كم تدوم قشور الأسنان في تركيا؟ العمر الافتراضي، العناية، ومتى تصبح الحاجة إلى الاستبدال ضرورية
ما الذي يجب أن يسأل عنه المرضى قبل الموافقة على القشور أو التيجان؟
اسأل لماذا تم اختيار هذا العلاج لأسنانك أنت تحديداً
لماذا تهم الإجابة المحددة أكثر من اسم الباقة
من المهم أن يسأل المريض: لماذا القشور؟ ولماذا ليست التيجان؟ أو العكس؟ ويجب أن تكون الإجابة مبنية على:
- قوة الأسنان
- المينا
- الإطباق
- اللثة
- الهدف التجميلي
كلما كانت الإجابة أكثر تحديداً، دلّ ذلك على أن الخطة حقيقية وليست جاهزة مسبقاً.
اسأل عن مقدار التحضير، وسلامة الإطباق، وخطة المتابعة
لماذا يجب شرح المخاطر قبل أي خطوة لا رجعة فيها
العيادة الجيدة يجب أن تشرح:
- كم التحضير المتوقع
- ما إذا كان الصرير يمثل مشكلة
- كيف ستُفحص اللثة
- كيف ستكون المتابعة بعد العودة
- هل تحتاج إلى واقٍ ليلي
هذا النوع من الأسئلة يكشف مدى جدية الخطة وشفافيتها.
اسأل ما الخطأ الذي يمكن أن يحصل في حالتك أنت، لا ما الذي ينجح عادة فقط
لماذا تبني مناقشة المخاطر الواقعية توقعات أكثر أماناً
الطمأنة العامة لا تكفي. من الأفضل أن يسأل المريض بشكل مباشر: ما المخاطر الخاصة بحالتي؟ وهل هناك عوامل تجعلني أكثر عرضة من غيري؟ هذا النوع من النقاش يقي من سوء الفهم ويجعل القرار أكثر وعياً.
كما أنه يساعد أيضاً في اكتشاف الحالات التي يجب ألا تبدأ العلاج فوراً، بل تؤجل التجميل وتعالج الأساس أولاً.
اقرأ المزيد: تجارب ابتسامة هوليود في تركيا – قصة حقيقية لرحلة آنا كارلا من المملكة المتحدة إلى ميرا كلينيك
متى يجب تأجيل ابتسامة هوليوود ومعالجة الأساس أولاً؟
أمراض اللثة والتسوس والترميمات الفاشلة يجب علاجها قبل التجميل
لماذا تكون القاعدة الصحية أهم من توقيت النتيجة
إذا كانت اللثة ملتهبة، أو الأسنان فيها تسوس نشط، أو الحشوات القديمة غير مستقرة، فإن بدء العلاج التجميلي فوق هذا الوضع يرفع مستوى المخاطر بشكل واضح. ولهذا فإن معالجة الأساس لا “تؤخر الجمال”، بل تحميه.
لا يجب تجاهل عدم استقرار الإطباق أو الصرير أو الألم غير المعالج
لماذا يجب أحياناً تثبيت الوظيفة قبل تحسين الشكل
إذا كان المريض يعاني من ألم، أو ضغط شديد، أو تماسّات غير مستقرة، أو تآكل متقدم، فقد تكون الأولوية للعلاج الوظيفي أو الوقائي قبل التجميل. والابتسامة التي تُبنى على وظيفة مستقرة تكون عادة أكثر راحة واستمرارية.
بعض المرضى يحتاجون علاج لثة أو ترميمات أو تثبيت إطباق قبل القشور أو التيجان
لماذا يحمي تأجيل العلاج أحياناً النتيجة النهائية بدلاً من أن يضرها
في بعض الحالات، يكون القرار الأكثر أماناً هو عدم البدء فوراً. وهذا لا يعني أن المريض غير مناسب لابتسامة هوليوود، بل يعني أن النتيجة ستكون أفضل عندما تُبنى على بيئة صحية ووظيفية مستقرة.
وبعد هذا كله، تبقى الأسئلة الشائعة التي يطرحها المرضى عادة قبل الحجز، وهي تحتاج إلى إجابات مباشرة وواضحة.
اقرأ المزيد: هل قشور الأسنان قابلة للإزالة؟ ماذا يحدث إذا غيّرت رأيك لاحقاً؟