- How much does a Hollywood smile cost Turkey?
- Why Choose a Hollywood Smile Design in Turkey?
- How Your Hollywood Smile Cost Is Affected?
- Hollywood Smile Veneers Types and Costs
- Hollywood Smile with Dental Crowns and Their Cost in Turkey
- Hollywood Smile with Dental Implants and Their Cost in Turkey
- Why Choose Mira Clinic in Istanbul for Your Hollywood Smile
What is the affordable price for a Hollywood Smile in Turkey? Think again and choose the right place for your dental treatment.
The Hollywood Smile has become one of the most popular cosmetic dental procedures in Turkey and around the world. Every year, thousands of people travel to Istanbul seeking a confident, radiant smile at a fraction of the cost they would pay elsewhere. The Hollywood Smile cost in Turkey is not only budget-friendly but also highlights the country’s advanced dental expertise and world-class care standards.
In this article, we will explore the real Hollywood Smile cost, the main factors that affect it, and why Mira Clinic in Istanbul is one of the leading destinations for achieving flawless, natural-looking results. With over 15 years of experience and a team of 20+ qualified doctors, Mira Clinic has become one of Turkey’s most trusted names in aesthetic dentistry — from Hollywood Smiles to dental implants and veneers.
How much does a Hollywood smile cost Turkey?
How much does a Hollywood Smile cost in Turkey? The short answer is: it’s surprisingly affordable. This is one of the most common questions asked by people worldwide who dream of transforming their smiles.
Many foreign patients choose Turkey for their Hollywood Smile because of its low cost, high-quality dental services, and reputation as one of the world’s most attractive tourism destinations. However, the Hollywood Smile cost in Turkey can vary from one clinic to another depending on several key factors.
One of the main elements that determine the final price is the type of dental materials used. High-quality veneers or crowns made from premium materials naturally cost more, which explains the price differences among clinics. Additionally, every patient’s dental condition plays a crucial role — while some may only need veneers to achieve a perfect smile, others might require crowns or even implants to restore both health and aesthetics.

Why Choose a Hollywood Smile Design in Turkey?
Have you ever wondered why thousands of people from around the world choose Turkey for their cosmetic dental treatments? The reason goes far beyond affordability — it’s a blend of modern innovation, medical expertise, and exceptional patient care that makes Turkey a top global destination for smile makeovers.
Modern Equipment and the Latest Dental Techniques
Over the past decade, Turkey’s healthcare sector has undergone a remarkable transformation. The country has invested heavily in state-of-the-art medical infrastructure, ensuring that dental clinics across cities like Istanbul are equipped with the latest digital technologies, 3D imaging systems, and advanced dental materials.
These innovations allow Turkish clinics to deliver precise, long-lasting, and aesthetic results that rival those in Europe and the United States.
Professional and Highly Trained Cosmetic Dentists
When it comes to expertise, Turkish cosmetic dentists stand among the most skilled professionals in the field. Many have graduated from prestigious universities and received advanced training in Turkey’s leading hospitals and international dental centers.
Their approach combines scientific precision with an artistic touch, ensuring that every Hollywood Smile design complements the patient’s natural facial features and enhances overall confidence.
High-Quality Services and Government Standards
The Turkish government actively supports the healthcare sector, helping clinics maintain international quality standards and strict patient safety protocols.
This ensures that every patient — whether local or international — receives premium dental care in a modern, comfortable, and hygienic environment.
All-Inclusive Dental Tourism Packages
Beyond treatment quality, Turkey’s clinics are renowned for their comprehensive medical tourism packages. Patients benefit from luxurious hotel accommodation, VIP transportation, translator assistance, and personalized care throughout their visit.
This all-in-one service allows patients to enjoy world-class dentistry while exploring the beauty and culture of Istanbul — making treatment both effective and memorable.
Affordable Hollywood Smile Cost Without Compromise
Despite the advanced technology and luxury experience, the Hollywood Smile cost in Turkey remains surprisingly affordable.
This affordability doesn’t come at the expense of quality — it’s simply a result of the country’s lower cost of living and strong healthcare infrastructure.
At Mira Clinic in Istanbul, patients receive premium-quality Hollywood Smile treatments designed by expert dentists, combining affordable luxury with life-changing results.
How Your Hollywood Smile Cost Is Affected?
When planning your Hollywood Smile makeover, it’s important to understand that the final cost can vary depending on several key elements. These factors are what determine the difference between one patient’s price and another’s. Let’s explore what truly shapes the Hollywood Smile cost in Turkey and why knowing them can help you make the right decision for your smile transformation.
1. Type of Material Used
The material of veneers or crowns plays the biggest role in determining your Hollywood Smile cost. Premium materials such as zirconium and E-max porcelain offer superior strength, color accuracy, and durability — which slightly raises their price compared to basic composite resin veneers. However, they provide a far more natural appearance and longer lifespan, making them a valuable long-term investment.
2. Brand and Quality of Dental Products
Just like in any industry, dental materials come from different brands with varying levels of quality. Choosing a well-known, reputable brand ensures precision fit, biocompatibility, and lasting brilliance. At Mira Clinic, we use only certified, top-tier brands trusted in international dentistry — ensuring our patients receive results that look beautiful and stand the test of time.
3. Your Dental Condition
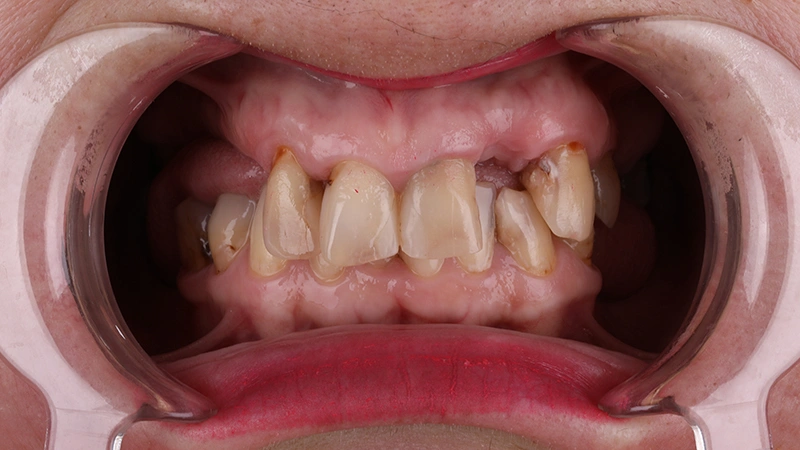
Every smile is unique. Some patients have healthy teeth that only need veneers, while others may have worn-down, discolored, or damaged teeth that require crowns or implants before the Hollywood Smile can be completed. These preparatory treatments influence the overall cost but are essential for ensuring your new smile is both healthy and long-lasting.
4. Additional Dental Treatments
Sometimes, achieving a perfect smile requires more than veneers alone. Procedures such as gum contouring, teeth whitening, or dental implants might be necessary depending on your oral health. These additional treatments add to the total price but also guarantee a comprehensive and flawless result.
5. The Dental Clinic’s Experience and Technology
The cost of your Hollywood Smile also depends on where you choose to have it done. Clinics with experienced cosmetic dentists, advanced 3D imaging, and digital smile design technology — like Mira Clinic in Istanbul — can provide more precise, comfortable, and natural-looking results. While such clinics may not always be the cheapest option, they offer the best combination of safety, quality, and artistry.

Notes to Recommend
When considering your Hollywood Smile cost in Turkey, remember that price should never be your only deciding factor. Focus instead on the materials, technology, and expertise behind the treatment.
We highly recommend:
- Choosing high-quality materials like zirconium or E-max for durability and a natural look.
- Ensuring your dental condition is properly assessed before treatment to achieve lasting results.
- Selecting a clinic with advanced technology and experienced dentists to guarantee both safety and precision.
- Asking about all-inclusive treatment packages that simplify your journey and provide extra comfort during your stay in Turkey.
At Mira Clinic in Istanbul, we combine affordable prices with top-tier materials and world-class dental expertise. Our goal is to make sure every patient not only saves on cost but also gains a confident, healthy, and radiant smile that truly lasts.
Hollywood Smile Veneers Types and Costs
Dental veneers are one of the most essential elements in achieving a Hollywood Smile. They are thin, custom-made shells placed on the front surface of teeth to correct imperfections such as discoloration, chips, or uneven shapes — instantly improving the smile’s overall appearance.
Veneers come in different types, materials, and qualities, and each one offers unique advantages in terms of durability, natural appearance, and cost. The Hollywood Smile cost in Turkey can vary depending on the veneer type you choose. Below, we explain the most popular types of veneers used in Turkey and their average prices, helping you choose the best option for your needs and budget.
Porcelain Veneers Cost in Turkey
Porcelain veneers are one of the most popular choices for creating a Hollywood Smile. They are designed for patients who want durable teeth, a natural appearance, and a long-lasting smile.
Porcelain veneers resist stains, maintain their color over time, and require minimal maintenance.
When it comes to cost, they tend to be more expensive than composite veneers due to their superior aesthetic quality and durability.
Average price of porcelain veneers in Turkey: €150 per tooth
Zirconium Veneers Cost in Turkey
Zirconium veneers are known for their exceptional strength, resistance to chipping, and natural translucency, which closely mimics real enamel.
They are also biocompatible, meaning they do not cause allergic reactions or irritation.
Zirconium is ideal for patients seeking a long-lasting, elegant smile that balances both beauty and durability.
Average price of zirconium veneers in Turkey: €175 per tooth
Composite Resin Veneers Cost in Turkey
Composite resin veneers are a more affordable and efficient option for patients looking to enhance their smile without extensive dental preparation.
They are applied directly to the teeth, allowing for a faster and more budget-friendly treatment.
While composite veneers may not last as long as porcelain or zirconium, they still deliver impressive results for those seeking a quick, attractive improvement.
Average price of composite resin veneers in Turkey: €150 per tooth
E-max Veneers Cost in Turkey
E-max veneers are made of a high-strength lithium disilicate material, offering exceptional translucency, durability, and color accuracy.
They are often chosen by patients who desire a premium aesthetic result — a smile that’s bright, natural, and elegant.
E-max veneers are typically more expensive than other types due to their advanced material composition and high-end aesthetic outcome.
Average price of E-max veneers in Turkey: €175 per tooth
Lumineers Cost in Turkey
Lumineers are ultra-thin, transparent shells that require minimal to no tooth preparation, making them one of the most comfortable veneer options available.
They are perfect for treating minor discoloration or small shape issues, and their thin design preserves natural tooth enamel.
Despite their gentle application, Lumineers still deliver an attractive and lasting result at an affordable rate.
Average price of Lumineers in Turkey: €180 per tooth

Average Veneer Prices in Turkey
|
Type of Veneer |
Av.Cost /tooth |
|---|---|
|
Porcelain Veneers |
€150 |
|
Zirconium Veneers |
€175 |
|
Composite Resin Veneers |
€150 |
|
E-max Veneers |
€175 |
|
Lumineers |
€180 |
Notes to Recommend
When choosing the right veneer for your Hollywood Smile in Turkey, consider not only the cost but also the material’s durability, appearance, and maintenance requirements.
We recommend:
- Discussing your aesthetic goals and dental condition with a qualified cosmetic dentist.
- Choosing premium materials like zirconium or E-max for long-term results.
- Considering the balance between budget and expected longevity of each veneer type.
- Seeking treatment from an experienced clinic equipped with modern dental technology.
At Mira Clinic in Istanbul, our specialists carefully guide each patient to choose the most suitable veneer type for their unique smile design to ensure affordable luxury, lasting beauty, and exceptional quality.
Hollywood Smile with Dental Crowns and Their Cost in Turkey
For patients who have severely damaged, worn, or weakened teeth, dental veneers alone may not be enough to achieve a complete Hollywood Smile. In these cases, dental crowns are used as part of the smile design to restore both function and beauty.
Unlike veneers that cover only the front surface of the tooth, a dental crown completely encapsulates the entire tooth, providing strength, protection, and a naturally attractive appearance.
The Hollywood Smile cost in Turkey can vary depending on whether your treatment involves veneers, crowns, or both. The price of dental crowns depends mainly on the material, durability, and aesthetic finish chosen for your case. Below, you’ll find the most common types of crowns used in Turkey and their average costs.
Porcelain Crowns Cost in Turkey
Porcelain crowns are a popular choice among patients who value aesthetics as much as functionality. These crowns mimic the natural color and translucency of real teeth, making them ideal for front teeth restorations.
Porcelain crowns offer good durability and are resistant to staining, providing a long-lasting, bright smile.
Average cost of porcelain crowns in Turkey: €180 per tooth
Zirconium Crowns Cost in Turkey
Zirconium crowns represent a modern, durable solution that combines strength with beauty. They are more resistant to fractures than porcelain and can withstand strong biting forces while maintaining a realistic appearance.
Zirconium is also biocompatible, which means it integrates well with the gum tissue and does not cause irritation or allergies.
Average cost of zirconium crowns in Turkey: €150 per tooth
Composite Resin Crowns Cost in Turkey
Composite resin crowns are the most budget-friendly option for patients who want to restore their teeth at a lower cost.
They are designed to match the natural tooth color and provide a good cosmetic result, but they are less durable than porcelain or zirconium and may wear down or chip over time.
Average cost of composite resin crowns in Turkey: €150 per tooth
E-max Crowns Cost in Turkey
E-max crowns are made from high-strength lithium disilicate, offering exceptional translucency, aesthetic appeal, and resistance to wear.
They are often preferred for visible teeth due to their lifelike appearance and premium quality finish.
Average cost of E-max crowns in Turkey: €180 per tooth

Average Dental Crown Prices in Turkey
|
Type of Dental Crown |
Average Cost (per tooth) |
|---|---|
|
Porcelain Crowns |
€180 |
|
Zirconium Crowns |
€150 |
|
Composite Resin Crowns |
€150 |
|
E-max Crowns |
€180 |
Notes to Recommend
Before choosing your dental crowns, it’s important to discuss the right material and design with your cosmetic dentist. Here are a few key points to keep in mind:
- Porcelain and E-max crowns are ideal for front teeth due to their superior aesthetics.
- Zirconium crowns are best suited for molars or patients needing extra strength and durability.
- Composite crowns can be a good short-term or budget-friendly solution but may require replacement sooner.
- Choose a clinic with advanced technology and experienced specialists, such as Mira Clinic in Istanbul, to ensure precision, comfort, and long-term results.
At Mira Clinic, our experts tailor each Hollywood Smile design to the patient’s dental condition, combining veneers and crowns where needed to achieve a balanced, natural, and lasting smile, all at an affordable cost in Turkey.
Hollywood Smile with Dental Implants and Their Cost in Turkey
A Hollywood Smile is not limited to patients who already have healthy natural teeth. Even if you have missing or severely damaged teeth, it’s still possible to achieve a complete smile makeover through dental implants. Implants play an essential role in building a strong and stable foundation for the perfect smile design, making them an integral part of many Hollywood Smile transformations in Turkey.
Dental implants act as artificial tooth roots, placed securely into the jawbone to support crowns, bridges, or even full dental prosthetics. In some cases, patients may need one or more implants before proceeding with veneers or crowns to complete their Hollywood Smile. This approach ensures both aesthetic harmony and functional durability.
How Dental Implants Support a Hollywood Smile
For patients with missing teeth, implants are the key to restoring balance and strength to the jawline before applying veneers or crowns.
There are two main treatment paths depending on the condition of your teeth and gums:
- Single Dental Implants: Used to replace individual missing teeth and covered later with a dental crown that blends seamlessly with your Hollywood Smile design.
- All-on-4 Technique: A more advanced solution where only four implants are strategically placed in each jaw to support a full arch of crowns, creating a full-set Hollywood Smile efficiently and securely.
At Mira Clinic in Istanbul, our specialists carefully evaluate each patient’s case to determine whether implants are needed before or during the smile design phase, ensuring a perfect combination of health, balance, and beauty.

Dental Implant Cost in Turkey
The cost of dental implants in Turkey depends on several factors, including the implant brand, material, and whether additional procedures (like bone grafting) are required.
Each implant is composed of three parts:
- The metal screw (the root inserted into the bone)
- The abutment (the connector piece)
- The dental crown (the visible part of the tooth)
Average cost of a dental implant in Turkey: between €350 and €1000 per tooth, depending on the case and material used.
Notes to Recommend
If your Hollywood Smile design involves missing teeth, don’t worry — dental implants make it possible to restore your full smile safely and beautifully. Before starting your treatment, here’s what we recommend:
- Have a full dental assessment to determine if implants are required before veneers or crowns.
- Choose high-quality implant brands for long-term stability and safety.
- Consider All-on-4 or All-on-6 solutions if you have multiple missing teeth.
- Work with a specialized cosmetic dentist experienced in both implantology and smile design to ensure perfect alignment and aesthetics.
At Mira Clinic in Istanbul, we specialize in combining implants, veneers, and crowns to design complete Hollywood Smiles — even for patients with missing teeth — providing natural beauty, strength, and confidence that lasts for years.

Why Choose Mira Clinic in Istanbul for Your Hollywood Smile
A Hollywood Smile in Turkey is more than a cosmetic upgrade — it’s a life-changing transformation that enhances confidence, beauty, and self-expression. Whether your dream smile requires veneers, crowns, or even dental implants, Turkey has become the global destination for achieving flawless results at an affordable cost.
At Mira Clinic in Istanbul, every smile begins with a personalized assessment. Our specialists carefully study your facial features, dental condition, and goals to create a custom Hollywood Smile design that blends natural beauty with technical precision. Using advanced 3D imaging, digital smile design, and top-quality materials like zirconium, E-max, and porcelain, we ensure that your results are not only beautiful — but also long-lasting and healthy.
From veneers that enhance minor imperfections, to crowns that restore strength and balance, and implants that replace missing teeth, our team combines art and science to deliver a truly complete transformation.
Each treatment plan is customized to meet your needs and budget, maintaining the perfect balance between luxury and affordability.
Beyond dentistry, Mira Clinic provides an all-inclusive experience — luxurious accommodation, VIP transportation, translation assistance, and full patient support — so you can focus entirely on your comfort and confidence.
Your dream smile isn’t just a possibility — it’s within your reach. With over 15 years of experience and a team of 20+ highly qualified doctors, Mira Clinic has earned its reputation as one of the most trusted destinations for Hollywood Smile makeovers in Turkey.
Take the first step toward your new smile today.
Book your free online consultation with Mira Clinic and let our experts design a Hollywood Smile that reflects your true confidence, beauty, and individuality — because every smile deserves perfection.